NewsMakers
Philips announces expanded indications for SkyFlow X-ray imaging software
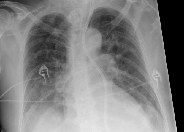
Royal Philips launched SkyFlow, an X-ray imaging software that produces high-contrast images for all anatomies in situations where clinicians decide not to use a grid. SkyFlow is Philips’ first digital imaging solution providing grid-like contrast improvement and enhanced confidence for grid-less radiography, which improves clinician’s workflow and supports “first-time-right imaging” by decreasing the need for retakes due to misalignment.
Royal Philips launched SkyFlow, an X-ray imaging software that produces high-contrast images for all anatomies in situations where clinicians decide not to use a grid. SkyFlow is Philips’ first digital imaging solution providing grid-like contrast improvement and enhanced confidence for grid-less radiography, which improves clinician’s workflow and supports “first-time-right imaging” by decreasing the need for retakes due to misalignment.
SkyFlow is a technology for bedside chest exams and will be expanded to include other anatomies. The imaging software reduces the effect of scattered radiation by using an algorithm that requires no operator input and automatically adjusts contrast enhancement based on the amount of scatter, giving clinicians a crisper image to improve their diagnostic confidence.
A study found that radiographers using SkyFlow technology in a grid-less workflow for chest exams saw an average of 34 seconds of time savings per examination compared to workflow with a grid. SkyFlow can be used for all patient types, including bariatric cases.
“Philips understands the growing need of healthcare providers to increase cost savings while improving patient care,” Robert Cascella , executive vice president and CEO, Philips Imaging. “SkyFlow helps providers meet these challenges by simultaneously increasing productivity and patient comfort through shorter examination times and more comfortable positioning without a grid.”
Often radiographers face challenging work environments due to varying patient conditions, tight spaces in the exam room, and the tangle of tubes and cords to navigate. Clinicians often choose not to use a grid in imaging to save time related to grid alignment and ensure patient comfort.
Historically, grid-less imaging resulted in scattered radiation, causing a significant loss of image contrast, making it difficult for radiologists to make an accurate diagnosis. However, grid-less workflow with SkyFlow technology provides grid-like image contrast and enables faster, less error-prone workflows than other non-grid options.
Philips’ X-ray imaging processing technology, including SkyFlow, is available through Philips’ MobileDiagnost wDR and DigitalDiagnost solutions.
NewsMakers
Cancer risk is significantly higher for adults who never married, large study finds
Adults who were never married had substantially higher rates of developing cancer compared with those who were or had been married. For some cancers, the association was even stronger: adult men who were never married had approximately five times the rate of anal cancer compared with married men.
Adults who have never been married face a significantly higher risk of developing cancer than those who have been married, according to a study of more than 4 million cases.
The increased risk spans nearly every major cancer type and is especially pronounced for preventable cancers—those linked to infections, smoking and reproductive factors. Led by researchers at Sylvester Comprehensive Cancer Center, part of the University of Miami Miller School of Medicine, the study appears in the April 8 issue of Cancer Research Communications.
A link to the article is here.
“These findings suggest that social factors such as marital status may serve as important markers of cancer risk at the population level,” said Paulo Pinheiro, Ph.D., study co-author and a Sylvester physician-scientist whose lab conducts population-based cancer epidemiology.
The novel observation does not mean that getting married prevents cancer or that people need to get married.
“It means that if you’re not married, you should be paying extra attention to cancer risk factors, getting any screenings you may need, and staying up to date on health care,” said Frank Penedo, Ph.D., associate director for population sciences and director of the Sylvester Survivorship and Supportive Care Institute (SSCI).
“For prevention efforts, our findings point to the importance of targeting cancer risk awareness and prevention strategies with attention to marital status,” he added.
Marriage is already associated with earlier cancer diagnosis and better survival. Married individuals often, but not always, have stronger support systems, greater economic stability and are more likely to adhere to cancer treatment regimens.
But previous work on the links between marriage and cancer focused almost entirely on what happens at and after diagnosis. Only a few small, older studies explored whether marriage affects the odds of getting cancer in the first place.
“We wanted to know who is more likely to get cancer: married people or unmarried people?” Pinheiro said.
To find out, the researchers analyzed a large dataset covering 12 states that included demographic and cancer data from more than 4 million cancer cases in a population of more than 100 million people, collected between 2015 and 2022. They examined cases of malignant cancers diagnosed at age 30 or older and compared rates of various cancers by marital status, further broken down by sex and race and adjusted for age.
The researchers categorized marital status into two groups: those who were or had been married, including married, divorced and widowed individuals, and those who had never been married. The study began in 2015 because that year, the U.S. Supreme Court legalized gay marriage, allowing same-sex couples to be included in the married category. One in five adults in the study had never married.
Pinheiro expected to see some associations, given established relationships between marriage and lifestyle factors such as smoking, routine medical care and having children. But the strength of some findings surprised him.
Adults who were never married had substantially higher rates of developing cancer compared with those who were or had been married. For some cancers, the association was even stronger: adult men who were never married had approximately five times the rate of anal cancer compared with married men. Adult women who were never married had nearly three times the rate of cervical cancer compared with women who were or had been married.
Both anal and cervical cancers are strongly related to HPV infection, so these differences likely reflect variation in exposure, and for cervical cancer, also differences in screening and prevention. In contrast, for cancers such as endometrial and ovarian, differences by marital status may partly reflect the protective effect of parity, which is more common among married individuals.
“It’s a clear and powerful signal that some individuals are at a greater risk,” Penedo said.
Men and women showed slightly different patterns. Men who were never married were about 70% more likely to develop cancer than married men, while women who never married were about 85% more likely to develop cancer than women who were or had been married.
This represents a small but noteworthy reversal of a broader trend: Men often benefit more from marriage than women in terms of health and social factors. In this case, women appeared to benefit slightly more from marriage than men.
The strongest associations between marriage and cancer were seen for cancers related to infection, smoking or alcohol use, and, for women, cancers related to reproduction, such as ovarian and endometrial cancer.
The researchers found weaker associations for cancers with robust screening programs, including breast, thyroid and prostate cancers.
They also observed patterns across race and marital status. Black men who were never married had the highest overall cancer rates. However, married Black men had lower cancer rates than married White men, indicating a strong protective association with marriage in that group.
The study has limitations. People who smoke less, drink less, take better care of themselves and are more socially integrated may also be more likely to get married.
Still, the researchers found that associations between marriage and cancer were stronger in adults older than 50, suggesting that as people age and accumulate cancer risk exposures, the benefits associated with marriage may become more pronounced.
The study also excluded individuals who are unmarried but in committed partnerships. That group is likely small relative to the size of the dataset, Pinheiro said, but worth exploring in future research.
Future studies could further subdivide the married category into married, divorced and widowed individuals and follow people over decades to better understand how marital transitions affect cancer risk.
Overall, getting married does not magically prevent cancer, both authors stressed.
“But the association between marriage status and cancer risk is an interesting, new observation that deserves more research,” Pinheiro said.
NewsMakers
Social support, sleep, pain management linked to mental health in later life
Older people who are socially connected, physically healthy, and spiritually engaged are significantly more likely to experience complete mental health.
Older people who are socially connected, physically healthy, and spiritually engaged are significantly more likely to experience complete mental health.
This is according to a new study, “Flourishing older Canadians: What characteristics are associated with complete mental health?”, that was published in PLOS One.
Using data from 2,024 respondents in Statistics Canada’s 2022 Mental Health and Access to Care Survey (MHACS), researchers examined factors associated with both the absence of psychiatric disorder (APD) and complete mental health (CMH), a broader measure that combines freedom from mental illness with high emotional, psychological, and social well-being.
“Our findings shift the conversation away from mental illness alone and toward understanding what helps older adults truly flourish,” said first author Daniyal Rahim, PhD Candidate, Ontario Institute for Studies in Education, University of Toronto. “Complete mental health reflects not just the absence of disorders, but the presence of meaning, satisfaction, and strong social connections.”
The study found that older adults were more likely to experience APD and CMH if they were married or in a common-law relationship, had strong social support, rated their physical health as fair or better, and reported no chronic pain, sleep problems, or limitations in daily activities. Social support emerged as one of the strongest predictors, more than doubling the odds of achieving complete mental health.
“Social relationships appear to be a cornerstone of mental well-being in later life,” said coauthor Shannon Halls, Research Coordinator, Institute for Life Course & Aging, University of Toronto. “Having people to rely on during stressful times may buffer against psychological distress and promote resilience, happiness, and a sense of purpose.”
Spirituality was also strongly associated with mental well-being. Older adults who reported that religion or spirituality was important in their daily lives had significantly higher odds of both APD and CMH.
“Spiritual beliefs may help older adults cope with adversity by providing meaning, hope, and a sense of community,” said co-author Ying Jiang, a senior epidemiologist in the Applied Research Division, Centre for Surveillance and Applied Research, Public Health Agency of Canada. “These factors can be particularly relevant during periods of declining health or life transitions.”
Physical health factors played a critical role. Freedom from chronic pain, sleep problems, and limitations in instrumental activities of daily living was consistently associated with better mental health outcomes. Conversely, living in a large urban center was linked to lower odds of complete mental health compared to rural living.
“These findings underscore that mental health in aging is shaped by a complex interplay of social, physical, and environmental factors,” said senior author Esme Fuller-Thomson, Director, Institute for Life Course & Aging, University of Toronto, Factor-Inwentash Faculty of Social Work, University of Toronto. “Public health strategies that strengthen social support, address pain and sleep problems, and promote meaningful engagement could substantially improve well-being among older adults.”
The authors emphasize that many of the identified factors are modifiable, suggesting opportunities for targeted interventions, including social programming, pain management, sleep treatment, and community-based supports to help more older Canadians achieve complete mental health.
NewsMakers
Healthier plant-based diet associated with lower risk of Alzheimer’s, other dementias
Eating a higher quality plant-based diet is associated with a lower risk of Alzheimer’s disease and other related dementias compared to eating a lower quality plant-based diet.
Eating a higher quality plant-based diet is associated with a lower risk of Alzheimer’s disease and other related dementias compared to eating a lower quality plant-based diet.
This is according to a study published in Neurology, the medical journal of the American Academy of Neurology.
While the study shows an association based on observations, it does not prove that a higher quality plant-based diet causes a lower risk of dementia.
Researchers looked at three plant-based diets. The overall plant-based diet prioritizes eating more plant foods than animal products like meat, milk and eggs, without looking at quality. The healthful plant-based diet prioritizes healthy plant foods like whole grains, fruits, vegetables, vegetable oils, nuts, legumes and tea and coffee. The unhealthful plant-based diet includes less healthy plant foods like refined grains, fruit juices, potatoes and added sugars. Researchers did not look at vegetarian or vegan diets.
“Plant-based diets have been shown to be beneficial in reducing the risk of diseases like diabetes and high blood pressure, but less is known about the risk of Alzheimer’s disease and other dementias,” said study author Song-Yi Park, PhD, of the University of Hawaii at Manoa’s Cancer Center in Honolulu. “Our study found that the quality of a plant-based diet mattered, with a higher quality diet associated with a reduced risk, and a lower quality diet associated with an increased risk.”
The study involved 92,849 people with an average age of 59 at the start of the study. It included African American, Japanese American, Latino, Native Hawaiian and white participants. They were followed for an average of 11 years. During that time, 21,478 people developed Alzheimer’s disease or another related dementia.
Participants completed food questionnaires at the start of the study. Researchers determined how well people’s diets resembled the overall plant-based diet, the healthful plant-based diet and the unhealthful plant-based diet, by reviewing how many healthy and less healthy plant foods they ate, as well as animal fats, meat, dairy, eggs, fish and seafood. Participants were each given three scores based on how closely they followed the three plant-based diets.
Researchers then ranked the participants into five subgroups for each of the three diet scores.
After adjusting for factors like age, physical activity and diabetes, researchers found that when comparing people based on their score for the overall plant-based diet, the top subgroup who ate the most plant foods had a 12% lower risk of dementia compared to the lowest subgroup.
When people were compared based on their score for the healthful plant-based diet, the top subgroup had a 7% lower risk compared to the lowest subgroup. And when compared based on their score for the unhealthful plant-based diet, the top subgroup who ate the most unhealthy plant foods had a 6% higher risk of dementia than the lowest subgroup.
Among a smaller group of 45,065 participants who reported their diet again after 10 years, 8,360 participants later developed dementia. Researchers looked at diet changes over time. When compared to people whose diets didn’t change, people whose diets changed the most toward following an unhealthful diet had a 25% higher risk of dementia while those whose diets changed the most away from following an unhealthful diet had an 11% lower risk.
“We found that adopting a plant-based diet, even starting at an older age, and refraining from low-quality plant-based diets were associated with a lower risk of Alzheimer’s and other dementias,” said Park. “Our findings highlight that it is important not only to follow a plant-based diet, but also to ensure that the diet is of high quality.”
-
Destinations4 weeks agoIn an airy Baguio café via Rebel Bakehouse
-
Nutrition4 weeks agoMicrowave frying can help lower oil content for healthier French fries
-
Destinations2 weeks agoFaith, fanaticism, and everything in between in Manaoag
-
NewsMakers1 week agoFeeling unfulfilled could lead to riskier, heavier alcohol use
-
NewsMakers1 week agoCancer risk is significantly higher for adults who never married, large study finds
-
NewsMakers1 week agoHealthier plant-based diet associated with lower risk of Alzheimer’s, other dementias
-
NewsMakers1 week agoSocial support, sleep, pain management linked to mental health in later life
-
Wellness1 week agoPhysical activity and appropriate sleep linked to subsequent lower dementia risk
